-

천하장사 이만기의 샤브샤브
“진 정한 사나이의 기상과 정신이 배어 있는 매력적인 운동이 바로 씨름입니다. 조상이 만든 가장 과학적인 운동이죠. 난중일기를 보면 이순신 장군도 씨름으로 병사들의 무예를 연마시켰습니다.” 영원한 천하장사 이만기(李萬基·40)씨에게…
200312 2003년 11월 28일 -

살아 있는 역사박물관 경북 안동
탐스러운 사과는 늦가을 햇살이 아쉽기만 한데 매서운 겨울바람이 내버려두질 않는다. 갑자기 수은주가 영하로 떨어지자 사과 따는 아낙의 손길이 분주해졌다. 안동사과는 전국 생산량의 10%를 차지할 만큼 물량이 많을 뿐 아니라 색상이 선…
200312 2003년 11월 28일 -

THE SEA
200312 2003년 11월 28일 -

검은 하늘을 이고 잠들다
어둠은 끝이 보이지 않았다. 박종포는 신발 밑에서 이를 가는 자갈 소리를 들으며 주머니란 주머니는 모두 뒤졌지만 불을 찾지 못했다. 서늘한 기운이 몸을 부르르 떨게 만들었다. 어디선가 규칙적으로 떨어지는 물방울 소리도 들려왔다. 두…
200312 2003년 11월 28일 -

한국의 선거 정치 외
한국의 선거 정치 강원택 지음1992년 14대 국회의원선거부터 2002년 16대 대통령선거까지 지난 10년간 치러진 대선과 총선을 유권자의 투표행태별로 분석한 방대한 연구결과물이다. 저자는 이념, 지역, 세대, 미디어의 4가지 주제…
200312 2003년 11월 28일 -

독서의 다양한 풍경, 책이 책을 말하다
책에 관해 말하거나 글을 쓰면 우리는 그것을 서평이라고 한다. 그러나 같은 서평이라도 갈래는 무척 다양하다. 책 내용과 저자, 배경 등을 친절하게 안내하는 일종의 독서 안내가 있는가 하면, 다분히 비판적인 눈으로 책 내용을 속속들이…
200312 2003년 11월 28일 -

사형수의초상
1976년 3월 나는 한 사형수를 만났다. 그리고 그가 형집행을 당할 때까지 친구가 되어주었다. 그가 떠난 후 매주 또는 격주로 만나 나와 신앙과 우정을 나눈 사형수는 줄잡아 20여 명에 이른다. 그들과 신앙상담을 하면서 삶의 마지…
200312 2003년 11월 28일 -

솔잎 따서 콩나물 기르고 곶감 서리 맞혀 항아리에 가두고
처음에는 옷을 껴입을 줄밖에 몰랐다. 다행히 시골장에는 아직도 보온 내복, 솜 누빈 버선을 판다. 내복 입고, 면으로 된 티셔츠 입고, 털조끼 입고, 그 위에 헐렁한 스웨터를 입었다. 방안에 있어도 외풍이 있고. 하루에도 셀 수 없…
200312 2003년 11월 28일 -

東과 西의 접점 이스탄불
여행자에게 현지의 물가수준은 매우 예민한 사안이다. 물가가 싸면 편안한 마음으로 느긋하게 여행을 즐길 수 있겠지만, 그 반대라면 하루라도 빨리 그곳에서 벗어나고 싶어진다.동과 서가 만나면서 아시아와 유럽을 자연스레 이어주고, 기독교…
200312 2003년 11월 28일 -

에드워드 사이드에 바치는 弔詞
9 월24일 ‘오리엔탈리즘’의 저자 에드워드 사이드가 세상을 떠났다. 필자는 ‘오리엔탈리즘’의 번역자이자 오랫동안 사숙한 제자로서 그의 죽음을 애도한다. 내가 ‘오리엔탈리즘’을 번역한 후 그의 이름이 한국에도 본격 소개되었기에 더욱…
200312 2003년 11월 28일 -

왕따 당하면 대뇌가 고통스럽다
한사람을 집단적으로 따돌리는 이른바 ‘왕따’ 현상이 사회적 문제가 된 지 오래다. 국무총리산하 청소년보호위원회가 8월20일 발표한 자료에 따르면 우리나라 학생 10명 중 1명이 학교에서 왕따를 당하고 있는 것으로 나타났다. 이러한 …
200312 2003년 11월 27일 -

인터넷 쇼핑몰에선 10대 소녀도 ‘사장님’
한달 매출 300만원에 하루 방문자 수가 1만여 명에 달하는 인터넷 쇼핑몰의 주인이 자본력이 충분한 30∼40대 사업가일 것이라고 생각한다면 이는 큰 오산이다. 현재 인터넷 쇼핑몰에는 10대 소녀부터 60대 노인까지 다양한 연령의 …
200312 2003년 11월 27일 -

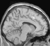
겨울철 어지럼증, 운동부족도 한 원인
추운 날 핑 도는 어지러움을 경험한 사람들은 대개 뇌졸중을 걱정한다. 따라서 찬 기운에 노출되지 않으려 바깥 출입을 삼가거나 운동량을 줄이게 마련. 특히 잠자리에서 일어날 때 어지럽기라도 하면 날씨를 핑계삼아 온종일 자리를 보전하고…
200312 2003년 11월 27일 -

제12회 사랑의 플루트 콘서트
‘사랑의 플루트 콰이어’의 성탄절 자선음악회. 국내 최정상의 플루트 연주자들은 물론 CCM가수 송정미, 시각장애를 극복한 바이올리니스트 김종훈 등이 특별 출연해 무대를 빛낼 예정이다. 연주회 수익금은 남양주에 위치한 중증장애인시설 …
200312 2003년 11월 27일 -

‘The Passion of CALLAS’ 외
영화감독이자 오페라 연출가인 프랑코 제피렐리는 ‘오페라의 역사는 칼라스 이전과 이후로 나뉜다’고 말했다. 굳이 제피렐리의 말을 빌리지 않아도, 소프라노 마리아 칼라스(1923~77)는 수식어가 필요 없는 가수다.그녀의 노래는 드라마…
200312 2003년 11월 27일 -

‘인디애나 존스’ 컬렉션 외
중절모를 쓰고 채찍을 무기로 삼는 고고학자이자 모험가인 ‘인디애나 존스’ 박사가 22년 만에 화려하게 DVD로 부활했다. ‘인디애나 존스’ 3부작은 스필버그(감독)와 루카스(시나리오·제작) 환상콤비가 만들어낸 액션모험 영화의 걸작으…
200312 2003년 11월 27일 -

기생충 잡아야 病 잡는다
어린 시절엔 왜 그렇게도 기생충이 많았던가. 정부는 국가 차원에서 구충작업에 관심을 쏟았고, 학교에선 정기적으로 회충약 산토닌을 복용케 했으며 그 결과 필자는 하루종일 하늘이 샛노랗던 기억을 갖고 있다. 그런데도 화장실엔 구더기와 …
200312 2003년 11월 27일 -

바람, 雲海, 심산계곡 ‘달력속의 풍경’
백두대간(白頭大幹)은 조선 영조 때 여암 신경준이 편찬한 것으로 전해지는 ‘여지편람’의 ‘산경표(山經表)’에 등장하는 명칭이다. 이에 따르면 백두산에서 지리산으로 내려오는 산줄기가 백두대간이고, 백두대간의 양 끝을 이어주는 것이 정…
200312 2003년 11월 27일 -

皇城新聞 옛터를 찾아서
구한말 황성신문은 국운이 급격히 기울어가는 소용돌이 속에서 국권을 수호하기 위해 필사적으로 필봉을 휘둘렀던 민족지의 하나였다.주독자층을 당시의 지도계층에 두고 있었던 황성신문은 바깥세상이 어떻게 돌아가고 있으며, 세계의 열강들이 서…
200312 2003년 11월 27일 -

조선시대 궁중음식 A to Z
드라마 ‘대장금’의 인기가 날로 치솟고 있다. 그 비결은 여러 가지겠지만, 그중 한 가지는 매회 등장하는 새롭고도 진귀한 궁중음식이다. 궁중 수라간 나인(內人)들이 선보이는 궁중음식은 재미를 더하기 위해 꾸민 부분도 있긴 하지만, …
200312 2003년 11월 27일